Straight Teeth in as little as 12 weeks

With Thames Street Dental, you really don't need to wait years for straighter teeth!

Free Consultation

You can begin your teeth straightening journey from the comfort of your sofa with our free virtual consultation!

Interest-Free Repayment

With our Interest-Free finance options, you have flexible payment plans available to help spread the cost!

A Great Alternative to Traditional Metal Braces

Straightening teeth with Invisalign clear aligners is so discreet that most people won't even realise you are wearing them!

Our image is important, and lacking confidence in our smiles can hold us back from truly living the life we want.  Unfortunately, traditional metal braces can make our confidence worse, and so aren’t suitable for everyone.

Fortunately, there is a better solution….

 

Invisalign Teeth Straightening Kingston-upon-Thames

Invisalign teeth straightening is available in Kingston, Hampton Wick, Teddington, New Malden, Surbiton, Norbiton and surrounding areas. It is offered by Thames Street Dental in Kingston-upon-Thames, KT1.

Invisalign Kingston

Thames Street Dental are pleased to offer smile transformations with Teeth Straightening in Kingston-upon-Thames. Rather than traditional metal braces, we recommend invisible aligners known as Invisalign.

 

What is Invisalign?

Invisalign is a modern teeth straightening treatment in which clear, almost invisible, removable aligners are used to straighten teeth within as little as 12 weeks!

You will typically visit the Dentist every 6 to 8 weeks to ensure that your treatment is progressing as planned.  Each set of clear aligners is worn for around 2 weeks prior to being replaced by the next set – these aligners gradually move teeth into their desired position.

No horrible metal braces or wires cutting into your mouth!

The simple, removable aligners by Invisalign are made specifically for your individual mouth, and can be similar to a mouth guard – just even better fitting due to them being made specifically for your teeth.

The Benefits of Invisalign

There are many benefits of straightening your teeth – both aesethically, and for the health of your teeth and gums. 

Aside from the obvious benefits of having your teeth straightened, the following highlights some of the benefits of teeth straightening with Invisalign rather than teeth straightening with traditional metal braces:

Invisible

Invisalign are known as clear aligners or invisible braces due to the fact that they are almost invisible when worn – most people will not even realise you’re wearing them!

Suitable for all Ages

Invisalign comes in a number of options to cover all age groups and most complex cases.

Removable

Unlike traditional, fixed metal braces, Invisalign aligners are plastic, and are made to fit around your teeth, meaning they can be removed during brushing, flossing and eating.

Easy to Wear

Traditional braces are fixed onto your teeth, and therefore require an Orthodontist to fit them (and you are unable to remove them) – Invisalign aligners can be slipped on, over your teeth with ease!

Comfortable

Invisalign is much more comfortable to wear. Since there are no metal wires or brackets, you don’t have to worry about getting painful nicks or cuts in your mouth. Invisalign aligners are smooth and won’t irritate your mouth – similar to a mouthguard, they do not have sharp edges.

Faster Results

Patients with Invisalign typically see results much quicker than those with metal braces – Some noticeable results can be seen within 12 weeks, though some of the more complicated cases can take 12 – 18 months before being complete.

Easy to Clean

As Invisalign aligners are removable, they are easy to clean, as are your teeth and gums! 

Simply rinse the aligners as you need, and regularly soak them in denture cleaner or the Invisalign cleaning crystals to ensure they remain clean and bacteria-free.

Eat What You Want!

With traditional metal braces, it can be difficult to eat many foods of your favourite foods including popcorn, nuts, ice, chewing gum, sweets, crusty bread, crackers and crisps.  Fortunately, as Invisaligners are removable you can eat whatever you want – simply remove them during meals and snack time!

Fix Dental issues

Of course, the main benefit of Invisalign aligners is the fact that they can be used to straighten teeth and help fix dental alignment issues including:

  • Crowded Teeth
  • Crossbite
  • Gap in Teeth
  • Misaligned Teeth
  • Open bite
  • Overbite
  • Underbite

Want to see if this is the right Teeth Straightening solution for you?

Book yourself in for a FREE, no obligation teeth straightening consultation with Thames Street Dental to find out!

N

Free Initial Consultation (Worth £50)

N

Free Teeth Whitening with Invisalign Treatment (Worth £300)

N

Interest-Free Options Available

N

Invisalign Specialist Dentists

FREE CONSULTATION

Book a FREE Invisalign teeth straightening contultation with Thames Street Dental – You have nothing to lose!

Sarah Jones

What an amazing dental practice! I am extremely nervous and have not been to the dentist for over 10 years. My friend recommended this practice to me and I am so glad I went. I love that it is a family run practice and it shows in the wonderful care you receive. I felt looked after at every single visit - and I have had multiple visits to sort out the mess my teeth were in. Dr Ruparel showed compassion and kindness, but no judgement whatsoever. The work carried has been of excellent quality and I felt the prices were reasonable for private dentistry and the care received. I feel like I am a pro at getting the anaesthetic now - I don't even flinch anymore. Their Covid safety measures are excellent - you can tell they have taken the time to really make sure everyone is safe and comfortable. I will always be grateful to the whole team for helping me combat my fear of dentistry and now that my teeth are healthy, I am excited to start my Invisalign teeth straightening journey! Thank you, Thames Street Dental – I have already recommended you to my sister, who is booked in with you! SJ

TheSteveGuess

Family run practice which I have been attending for around 25 years. Treatments received has always been very thorough and they have always been able to fit me in in an emergency. Billing is per visit rather than one big bill at the end of a treatment easing the load. The surgery is located in an historic tudor building in Kingston Town Centre but the equipment is kept uptodate. The only slight downside is the steep stairs which might be difficult for the less able. Their procedures changes in 2020 to meet Covid safety regulations and I feel comfortable visiting. A cup of tea is offered if you have to wait!

Lauren Mulcahy

If I could give 10 stars I would! Incredible place. After having a couple of bad experiences during my teens, I was terrified of the dentist and was suffering such bad anxiety at the thought of going to the dentist and as a result I didn't go for 20 years. The years of ignoring things going a little bit wrong lead to things going very wrong and during lockdown I was crippled in agony and knew I would have to see a dentist. I chose this place as it sounded great and had excellent reviews and I am so glad I did my homework! Before my first visit I was so terrified and anxious that I couldn't sleep and was very panicked but as soon as I walked through the door I was instantly at ease. Dr Ajay and his team, first and foremost, have the most wonderful way with their patients and are so reassuring and kind- the perfect way for someone who is nervous. The team are friendly, chatty, funny and charming and so happy to answer any questions and above all else have endless patience and compassion. My anxiety melted away in seconds! Today I completed a root canal with Dr Ajay which was pretty hefty work and I did not feel a thing throughout all procedures, not even the injections- I couldn't feel anything and everything over my few visits was completed quickly but thoroughly and with absolute expertise. I have every confidence in the whole team, they are incredible- and I have no more fear of dentists! Regarding being a covid safe environment, I could not have felt safer and more protected. On entry to the clinic, your temperate is taken and one is given hand sanitiser and asked about any symptoms. Only one patient is allowed on the premises at the time. All staff are fully kitted out in full PPE that is changed between patients and they clean down everything after each session, using seat covers etc. Patients are requested to use a rather potent mouthwash (which was the only slightly unpleasant part of the visits and tastes reassuringly effective). Everything is spotless and they all have made a huge effort to maintain a covid secure space- great work I'd like to thank Dr Ajay for taking away both toothache and my fear of dentists - going to the dentist is never going to be fun but the team in Thames Street Dental really do make it super pleasant.

Nick Robinson

Ajay has been my dentist for 20+ years. Always there when needed, and as a 'nervous' patient he and his team have been really good for me.

Liz Grob

A kind and friendly family run dental surgery, with an exceptionally good and supportive team of practitioners. Fully support with dental emergencies and excellent provision for regular dental care.

Philip Ward

I contacted Thames Street Dental for an emergency root canal issue. They made every effort to treat me as quickly as was possible and I have been regular patient since then. The treatment, efficiency and general approach of both Dr Ruparel and all of the staff has always been that of, nothing is too much trouble. The practice has done everything that could be expected to make my visits and treatments as easy and time efficient as they could. The dental work has been considered, explained and expertly administered. I will certainly continue to be a patient of this lovely family practice for the foreseeable future.

J.-M. Peron

I cannot remember exactly how long I have been a patient with Dr Ruparel, but I remember my first visit. I did not have a dentist at the time and called for an emergency treatment for a broken tooth. The level of care and the quality of the service I received were excellent, and I decided to remain their patient. Going to the dentist is never a source of anxiety as the treatment is mostly painless. The treatment required is always explained and in my view never superfluous. I would therefore have no problem recommending Thames Street Dental practice to anyone looking for a new dentist. They truly care about their patients and have a friendly manner to show it which is important in any health care setting.

Conrad Ayling

I've been a patient at Thames Street Dental for many years. I've always found them very welcoming, kind and friendly with a relaxing atmosphere. I've always received excellent treatment and Dr. Ruparel has always taken time to explain every aspect of my treatment. I and my teeth have been well looked after.

Joseph Wild

Thames Street Dental is a lovely family run dentist. Been going here for about 2 years and always a lovely experience.

Steve Day

After many years with no dental attention, I first visited Dr Ajay Ruparel in December 2019 with severe toothache. He quickly identified the cause as a cracked tooth and gave me some antibiotics to take the swelling down and take the pain away. There followed a temporary filling, a band around the tooth to hold it together, and a root canal. Last month (with some delays due to lockdown) I had a crown fitted over my original tooth, which he was able to save. Dr Ruparel and his team are always friendly, professional and approachable. I am glad I chose them because they offer a quality service.

Brankica Lackovic

Friendly family run surgery,very professional. Would highly recommend

J. Berry

I just wanted to say how extremely grateful I am to Dr Neeshita and her team for dealing so quickly and efficiently with a dental problem I had recently. I was extremely anxious before I went, (fear of the unknown!) but straight away I was put at ease, as she took time to explain my situation clearly, the treatment options, costs and timescales etc. I can honestly say I experienced no pain whatsoever either during or after my treatment. The whole procedure was smooth and reassuring and I left her surgery with a new lease of life. I simply couldn’t recommend this family practice highly enough and I will certainly be returning there for all my dental needs in future. I really appreciated too, a follow up email from the surgery 24 hours later asking how I was, and not to hesitate in contacting them if I had any worries what so ever - again, kind and thoughtful. Thank you so much.

Phil Dourado

Friendly, efficient, welcoming dental practice. Very quickly diagnosed what needed doing to my teeth and worked out a plan to do that, explaining it very clearly. Also, listened closely to my experience and dental history and priorities and took them into account. You get a strong family feel from this practice, and a genuine interest in their patients. I'm new to the area and had called a rival local dentist first. When they answered and I said 'I've just moved here. Are you taking new patients?' I got an irritated. 'Not NHS patients, no.' After a long pause I said I understood that. Then I got 'Call me back later. I'm with a patient now.' I didn't. I called Thames Street Dental instead and their response was warm and welcoming. They deal with the Coronavirus situation really well - only pass on a proportion of the cost of the PPE they have had to invest in, and take careful measures to keep everyone safe. I'd recommend them highly.

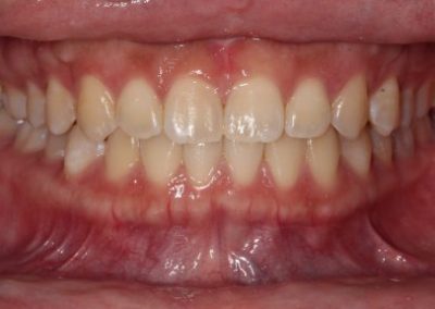
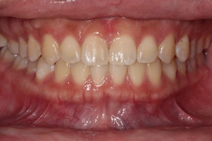
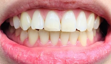
Real life examples of Teeth Before and After Invisalign

We often find potential patients wondering about if their teeth are suitable for Invisalign, and if so, what the results could look like. In the first instance, you can look at some real-life examples below.

If you have any doubts about whether Invisalign could work for you, please do book in for a free consultation, and we will be more than happy to advise you.

Example 1

Example 2

Example 3